
Table of Contents
Toggle- Key Takeaways
- What Are Dental Implants in Turkey and Why Consider Them for Teeth Replacement?
- What Are Dental Implants in Albania and Why Consider Them for Teeth Replacement?
- Why Are Dental Implants So Cheap in Turkey Compared to Other Countries?
- Is Turkey a Good Place to Get Dental Implants, Considering Safety and Value?
- What Does the Dental Implant Procedure in Turkey Typically Involve for UK Patients?
- What Should You Know About Full Mouth Dental Implants in Turkey, Including Package Deals?
- What Is Typically Included In Dental Implants Turkey Package Deals?
- Why Should You Get Your Dental Implants in Turkey? Exploring the Benefits
- What Do Patient Reviews and Before & After Results Reveal About Dental Implants in Turkey?
- Which Implant Brands Are Commonly Used for Dental Implants in Turkey, Such as All-On-4?
- How Do You Choose the Best Clinic or City for Dental Implants in Turkey?
- Frequently Asked Questions About 'dental implants turkey'
Key Takeaways
-
- Significant Cost Savings: Dental implants in Turkey can be 50-70% cheaper than in many Western countries, making advanced dental care more accessible.
-
- Quality Care Potential: High-quality treatments from experienced specialists are available, but thorough clinic research and due diligence are essential for a positive outcome.
-
- Full Mouth Options: Comprehensive solutions like All-on-4 and All-on-6 are widely offered, often in cost-effective packages tailored for international patients.
-
- Safety & Verification: While generally safe with accredited clinics using recognized brands, patients must verify credentials, understand potential risks, and check patient reviews.
-
- Typical Procedure Timeline: Most dental implant procedures require two trips to Turkey, with a healing period of 3-6 months in between to allow for osseointegration.
- Understanding Package Deals: All-inclusive packages can offer convenience and predictability but always scrutinize what’s included (e.g., implant brand, aftercare, additional procedures) to avoid hidden costs.
What Are Dental Implants in Turkey and Why Consider Them for Teeth Replacement?
Dental implants in Turkey are advanced, surgically placed titanium posts that fuse with your jawbone to provide a robust and permanent foundation for replacement teeth, with the “Turkey” aspect highlighting a popular and cost-effective destination for this sophisticated form of teeth replacement Turkey. Essentially, Turkish dental implants are no different in their fundamental medical technology from those you’d find in London, New York, or Berlin; they are the gold standard for replacing missing teeth, mimicking the root of a natural tooth. The reason you’d consider dental implants from Turkey specifically often boils down to a compelling blend of high-quality treatment, experienced dental professionals, and significantly more accessible pricing. When a tooth is lost, the consequences go beyond aesthetics; bone loss can occur, adjacent teeth can shift, and chewing ability can be compromised. Teeth implants Turkey address all these issues, offering a durable, long-lasting solution that looks, feels, and functions just like natural teeth. The rising trend of seeking these treatments in Turkey is a testament to the country’s investment in state-of-the-art dental clinics, highly skilled surgeons often trained internationally, and a patient-centric approach that often includes comprehensive travel and accommodation packages, making the entire process smoother for international patients. It’s about regaining not just your smile, but your confidence and quality of life, without the prohibitive price tag often encountered elsewhere. The “Turkey” label, therefore, signifies a specific value proposition in the global dental market.
What Are Dental Implants in Albania and Why Consider Them for Teeth Replacement?
What Are Dental Implants in Albania and Why Consider Them for Teeth Replacement?
Dental implants in Albania are artificial tooth roots made of biocompatible titanium or zirconia, surgically placed into the jawbone to support a crown, bridge, or full arch prosthesis. They offer a permanent and natural-looking solution for replacing one or more missing teeth — and Albania has become a leading destination for patients from abroad due to its combination of high-quality care and affordable prices.
✅ What Are Dental Implants?
A dental implant consists of three main components:
-
Implant Fixture
-
A screw-like post surgically placed into the jawbone
-
Typically made of titanium or zirconia
-
-
Abutment
-
Connects the implant to the crown or bridge
-
Can be metal or ceramic
-
-
Crown / Prosthesis
-
The visible part that resembles a natural tooth
-
Made of zirconia, porcelain, or metal-ceramic
-
Once placed, the implant integrates with the bone (a process called osseointegration) and becomes a stable, long-term foundation for replacement teeth.
Why Consider Getting Dental Implants in Albania?
1. Much Lower Cost
-
Up to 60–70% less expensive than in the UK, Germany, or Italy
-
Example: A full single-tooth implant (implant + abutment + zirconia crown) can cost €650–€1,100 in Albania vs €2,000–€3,000 in Western Europe
2. High-Quality Treatment
-
Many clinics use premium brands like Straumann, Megagen, and Neodent
-
Equipped with modern tech: 3D scanners, digital smile design, CBCT imaging
-
Experienced implantologists with international certifications
✈️ 3. Popular Dental Tourism Destination
-
Easy access from Italy, UK, Germany, Switzerland
-
English- and Italian-speaking staff
-
Clinics often provide travel assistance, airport pickups, and accommodation packages
⏱️ 4. Fast Appointments and Minimal Wait Time
-
Immediate consultations
-
Flexible scheduling — ideal for patients who can’t wait months for a procedure at home
5. Comprehensive Services
-
Bone grafts, sinus lifts, and full-arch restorations (All-on-4, All-on-6, All-on-8) also available
-
Full smile rehabilitation in as little as 5–7 days for suitable candidates
Who Is a Good Candidate?
-
Adults with one or more missing teeth
-
Patients with sufficient bone density (or willing to undergo bone grafting)
-
Non-smokers or those willing to stop smoking temporarily
-
Good general and oral health
What to Ask Before Choosing a Clinic in Albania
-
What implant brand is used? (Prefer European or FDA-approved)
-
Are X-rays or CT scans included in the price?
-
What’s the warranty on implants and crowns?
-
How many visits are required and what’s the total treatment time?
-
What aftercare is available after returning home?
Summary: Why Dental Implants in Albania?
| Benefit | Description |
|---|---|
| ✅ Affordable Pricing | Save up to 70% on implant procedures |
| ✅ High Quality Standards | Modern clinics, European materials |
| ✅ Personalized Treatment | Bilingual staff, custom care plans |
| ✅ Fast Access | No long waiting lists |
| ✅ Ideal for Dental Tourism | Combine treatment with travel |
Why Are Dental Implants So Cheap in Turkey Compared to Other Countries?
Dental implants are notably cheaper in Turkey primarily due to the country’s lower operational costs, favorable currency exchange rates for many international patients, and competitive market dynamics, not because of a compromise on quality or materials. The question “Why are dental implants so cheap in Turkey?” is a common and valid one. The significantly lower dental implants cost Turkey isn’t a red flag for inferior service but rather a reflection of the broader economic landscape. Labour costs, including salaries for highly qualified dental staff and administrative personnel, are substantially less than in Western European countries or North America. Rent for clinic spaces, utility bills, and other overheads also contribute to this cost differential. Furthermore, the Turkish government actively supports and promotes medical tourism, which can sometimes translate into incentives or a more streamlined process for establishing and running these advanced facilities. The sheer volume of patients travelling for dental implants in Turkey also allows clinics to achieve economies of scale, negotiating better prices for high-quality materials and equipment from international suppliers. This answers, “What makes package deals and prices so affordable in Turkey?” It’s a multifaceted economic advantage. Therefore, the cost of having dental implants in Turkey becomes an attractive proposition for those seeking top-tier dental care without the accompanying financial strain experienced in many other developed nations. This affordability opens doors for many who might otherwise postpone or forgo essential dental restoration.
How Much Do Dental Implants Cost in Turkey Generally?
Generally, the cost of a single dental implant in Turkey can range from approximately £300 to £700, or $400 to $900, depending on various factors, making it significantly more affordable than in the UK or USA where prices can be three to five times higher. This price typically includes the implant post itself, the abutment (the connector piece), and often the standard crown, though specifics can vary from clinic to clinic. Several factors influence the final dental implants cost Turkey. The reputation and location of the clinic play a role; prestigious clinics in major cities like Istanbul or Antalya with a long track record of international patients might have slightly higher prices, reflecting their investment in technology and expertise. The specific brand of the implant is another crucial determinant; for instance, premium international brands like Straumann or Nobel Biocare, often highlighted in searches such as “dental implants Turkey – Prices: Noble, Straumann, Alpha Bio,” will naturally cost more than lesser-known or high-quality local Turkish brands, though many clinics offer a range to suit different budgets and preferences. The complexity of the individual case also impacts cost; if bone grafting, sinus lifts, or other preparatory procedures are required, these will add to the overall expense. Moreover, the material of the final crown (e.g., zirconia, E-max, porcelain-fused-to-metal) will also affect the price. Despite these variables, the overarching theme is one of significant savings compared to Western countries, without necessarily compromising on the quality of materials or the skill of the dental professionals. Patients are often presented with transparent pricing, especially within package deals, allowing for clear financial planning.
How Much Are Full Mouth Dental Implants in Turkey?
A full set of teeth implants in Turkey, often referred to as full mouth dental implants, can typically cost between £3,000 and £8,000 (approximately $4,000 to $10,000) per arch, depending on the specific solution like All-on-4 or All-on-6, the brand of implants, and the materials used for the final prosthesis. This is a frequent and important question for those needing extensive restoration: “How much does a full set of teeth implants cost in Turkey?” The answer is that these comprehensive solutions are almost invariably offered as package deals, which contributes to their affordability. For instance, an All-on-4 solution, which uses four strategically placed implants to support a full arch of teeth, will generally be at the lower end of this price spectrum, while an All-on-6 or All-on-8, offering more support, might be higher. When patients ask, “How Much Full Set Implants Cost In Turkey?“, they are often looking at transformative procedures that can replace all missing teeth in one or both jaws. These packages often include not just the surgical placement of the implants and the final fixed bridge, but also temporary teeth, consultations, X-rays, and sometimes even accommodation and airport transfers. The choice of implant brand (e.g., Straumann, Nobel Biocare, or reputable local brands) and the material for the final teeth (e.g., acrylic, composite, or more durable and aesthetic zirconia) are significant cost drivers. Even at the higher end of the Turkish price range for full mouth dental implants, the cost is often a fraction – sometimes as little as a quarter or a third – of what one might expect to pay in countries like the UK, USA, Canada, or Australia for a comparable level of treatment and materials.
Is Turkey a Good Place to Get Dental Implants, Considering Safety and Value?
Yes, Turkey can be an excellent place to get dental implants, offering a compelling combination of high-quality dental care, experienced specialists, and significant cost savings, provided patients conduct thorough research and choose accredited clinics with proven track records. The pivotal question, “Is it worth getting dental implants in Turkey?“, hinges on this balance of value and safety. The country has invested heavily in its medical tourism sector, with many dental clinics boasting state-of-the-art technology and adhering to international standards of hygiene and care. Dentists and oral surgeons in reputable Turkish clinics are often internationally trained and highly experienced, particularly in complex procedures like full mouth restorations, due to the high volume of patients they treat. When pondering, “Is it safe to travel to Turkey for dental implants?“, the answer is generally yes, assuming you select a well-regarded clinic and take standard travel precautions. The value proposition is undeniable: patients can often save 50-70% compared to costs in Western Europe or North America, even after factoring in travel and accommodation. This affordability allows access to treatments that might be financially out of reach otherwise. However, this positive outlook is contingent on due diligence. Patients must meticulously vet clinics, check accreditations, read genuine patient reviews, and ensure clear communication regarding treatment plans and aftercare. The “value” isn’t just in the lower price but in receiving world-class treatment that leads to a successful, long-lasting outcome. For many, especially those from the UK, the proximity and ease of travel further enhance Turkey’s appeal as a dental tourism destination.
What Are the Reasons Why Dental Implants in Turkey Are Considered Safe?
Dental implants in Turkey are considered safe primarily due to the presence of highly qualified and experienced dental professionals, the use of modern, internationally accredited clinics equipped with advanced technology, and adherence to stringent hygiene and sterilization protocols comparable to global standards. Many Turkish dentists and oral surgeons have received training in Europe or the USA, or regularly attend international conferences and workshops, ensuring they are up-to-date with the latest techniques and advancements in implantology. Clinics catering to international patients often seek and achieve accreditations from reputable international bodies; for example, finding an “Is It Safe To Have Dental Implants in Turkey: AACI Accredited Clinic” (American Accreditation Commission International) can provide an extra layer of assurance regarding quality and safety standards. Furthermore, the materials used for dental implants, such as titanium, and for crowns, like zirconia or E-max, are typically sourced from the same internationally recognized manufacturers (e.g., Straumann, Nobel Biocare) used by top clinics worldwide. The competitive nature of the dental tourism market in Turkey also drives clinics to maintain high standards to attract and retain patients, particularly those from discerning markets like the UK, prompting questions such as “Should UK People Have Dental Implants in Turkey?” which clinics address by showcasing their credentials and patient success stories. High patient turnover also means that surgeons gain extensive experience in a wide range of cases, further refining their skills. Transparent treatment planning and clear communication, often facilitated by multilingual staff, also contribute to a safer and more comfortable patient experience.
What Are the Risks for UK People (and Others) When Having Dental Implants in Turkey?
The primary risks for UK people (and other international patients) when having dental implants in Turkey include potential complications related to travel for a medical procedure, challenges in arranging immediate or long-term follow-up care back home, and the inherent risks associated with any surgical procedure, regardless of location. While reputable Turkish clinics offer high standards, no surgery is entirely without risk. Potential complications can include infection, implant failure, nerve damage, or issues with the prosthesis, though these are not necessarily more frequent than in other countries if a good clinic is chosen. The travel aspect introduces specific considerations: flying soon after surgery might carry slight risks (e.g., DVT, though dental surgery is less of a concern than major operations), and being in an unfamiliar environment if complications arise can be stressful. One of the most significant concerns is the logistics of follow-up care. While initial aftercare is provided by the Turkish clinic, long-term maintenance or addressing minor issues might require finding a dentist in the UK willing to work with implants placed abroad, which isn’t always straightforward. Communication barriers can also be a risk if the clinic staff are not proficient in English, though most reputable clinics catering to international patients have excellent multilingual teams. The key to mitigating “What are the risks for UK people to have dental implants in Turkey?” lies in meticulous research: choosing clinics with proven success rates, clear communication protocols, robust aftercare plans (including guarantees or arrangements for follow-up), and ensuring you have adequate travel insurance that covers medical procedures abroad. Ultimately, leading to a balanced “Conclusion: Is Getting Dental Implants in Turkey Worth It?” requires weighing these potential risks against the significant benefits of cost and access to quality care, with thorough preparation being paramount.
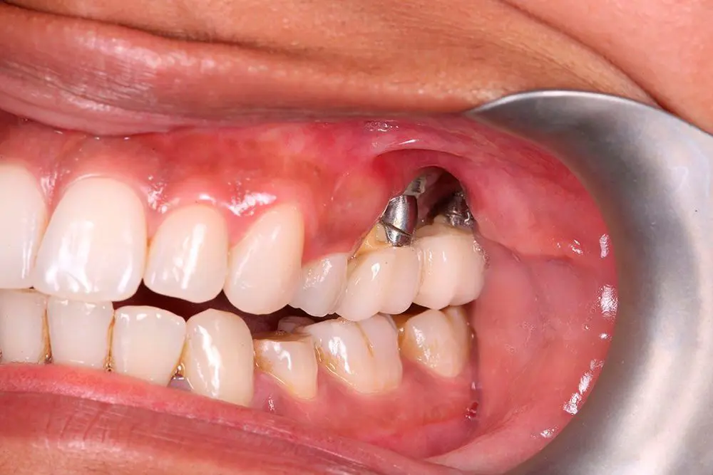
What Does the Dental Implant Procedure in Turkey Typically Involve for UK Patients?
The dental implant procedure in Turkey for UK patients typically involves an initial consultation (often remote with X-rays), followed by one or two visits to Turkey for the surgical placement of the implants and, after a healing period, the attachment of the final crowns or bridge. The journey for “dental implants Turkey procedure” usually begins with an online inquiry, where patients share their dental history, photos, and X-rays. Based on this, a preliminary treatment plan and quote are provided. The “dental implants in Turkey – first visit” is crucial. This visit involves a detailed in-person examination, CBCT scans for precise planning, and the surgical placement of the titanium implant(s) into the jawbone under local anaesthesia (or sedation if preferred/needed). If extractions or bone grafting are necessary, these are often done during this visit. Temporary teeth might be fitted. After this, there’s a healing period, typically 3 to 6 months, called osseointegration, where the implant fuses with the bone. Patients then return to the UK. The second visit involves uncovering the implants (if they were placed under the gum), attaching abutments (connector pieces), taking final impressions, and then fitting the custom-made permanent crowns or bridges. “The Dental Implant Procedure: What UK Patients Can Expect in Turkey” also often includes comprehensive service, such as airport transfers and hotel arrangements, managed by the clinic. The entire process is designed to be as smooth as possible, with clear communication and support throughout. Some clinics may offer immediate loading or “same-day implants” for suitable candidates, potentially reducing the number of trips or the overall timeline, but the standard two-visit protocol is most common for ensuring optimal healing and success.
How Long Do I Have to Stay in Turkey for Dental Implants?
For the initial surgical phase of dental implants, patients typically need to stay in Turkey for approximately 5 to 10 days, and for the second phase (fitting of final crowns), a similar duration of 5 to 7 days is usually required after the healing period. This timeframe allows for pre-operative assessments, the surgical procedure itself, any immediate post-operative checks, and a short recovery period before flying home. The exact duration can vary based on the complexity of the case – for example, if multiple implants are being placed, or if procedures like bone grafting or sinus lifts are performed concurrently, the clinic might advise a slightly longer stay for the first visit to monitor initial healing more closely. For full mouth restorations, the first stay might lean towards the longer end of the spectrum. It’s crucial not to rush this stage; allowing adequate time for the dentist to perform the procedure meticulously and for you to have initial recovery under their observation is vital for a successful outcome. For the second visit, when the permanent restorations are fitted, the stay is generally a bit shorter as it’s less invasive, primarily involving impressions, try-ins, and the final fitting of the crowns or bridge. Clinics are usually very clear about the recommended length of stay for each phase of your treatment plan, and this is often factored into package deals that include accommodation.
How Many Trips to Turkey Are Usually Needed for Dental Implants?
Typically, two separate trips to Turkey are needed for the complete dental implant procedure, with a healing period of several months between the visits to allow for osseointegration. This two-stage approach is the most common and often considered the gold standard for ensuring the long-term success and stability of the implants. The first trip is for the surgical placement of the implant posts into the jawbone. After this, as detailed in many a “How Many Trips to Turkey for Implants? – Detailed Dental Implant Travel Guide,” a crucial healing phase of usually 3 to 6 months is required. During this time, the titanium implant integrates with the surrounding bone tissue, a process known as osseointegration, creating a strong and stable foundation. The second trip is for the restorative phase: uncovering the implants (if necessary), placing the abutments (connectors), and then fitting the custom-made permanent crowns, bridges, or dentures onto these abutments. While some clinics may advertise “same-day implants” or single-visit solutions, these are usually suitable only for specific cases and may not always provide the same level of long-term predictability as the traditional two-stage protocol, especially for more complex restorations or if bone quality is compromised. Therefore, prospective patients should generally plan and budget for two distinct travel periods to complete their dental implant treatment in Turkey, ensuring the best possible outcome for their investment in a new smile.
Can You Get Same Day Dental Implants in Turkey and How Does That Process Work?
Yes, it is possible to get Same Day Dental Implants in Turkey, also known as “immediate load implants,” where a temporary (or sometimes final) crown is placed on the implant shortly after its surgical insertion, typically within 24-48 hours, but this option is suitable only for specific candidates with good bone quality and density. The process of getting same day dental implants in Turkey begins with a thorough assessment, including 3D CBCT scans, to determine suitability. If a patient is a good candidate – meaning they have sufficient jawbone volume and density to ensure primary stability of the implant immediately after placement – the procedure can proceed. The implant is surgically placed, and an abutment and a temporary crown are fitted on the same day or the next. This provides an immediate aesthetic and functional improvement, which is a significant advantage, especially for visible front teeth. However, as highlighted in resources like “Same Day Dental Implants in Turkey: A Quick and Convenient” guide, it’s crucial to understand that while the crown is placed quickly, the underlying osseointegration process (the implant fusing with the bone) still takes several months. During this healing period, patients are usually advised to follow a softer diet and avoid putting excessive chewing force on the immediate-load implant. In many cases, the initial crown placed is temporary, and a final, more durable permanent crown is fitted after full osseointegration is confirmed, which might still necessitate a second, shorter visit. While offering speed and convenience, same-day implants carry slightly different risk profiles and success rate considerations compared to the traditional two-stage approach, so a detailed consultation with an experienced implantologist is essential to determine the best option for your individual circumstances.
What Should You Know About Full Mouth Dental Implants in Turkey, Including Package Deals?
When considering full dental implants Turkey or full mouth dental implants Turkey, you should know that these comprehensive solutions typically involve replacing all teeth in one or both jaws using multiple implants (e.g., All-on-4, All-on-6) and are commonly offered in inclusive package deals that aim to provide cost-effectiveness and convenience for international patients. Understanding the scope of “Full Mouth Dental Implants Turkey Package Deals: Full Set Implants Cost” is vital. These packages often cover not just the surgical placement of implants and the final fixed prosthetic teeth, but also initial consultations, diagnostic imaging (like 3D CBCT scans), temporary restorations, anaesthesia, medication, and sometimes even accommodation, airport transfers, and translation services. It’s essential to get a clear breakdown of what “Full Mouth Dental Implants Treatment Details in Turkey” are included in any quoted package to avoid unexpected costs. These treatments are transformative, designed for individuals who have lost most or all of their teeth due to decay, gum disease, or injury, or those with failing existing dental work. The “All-on-X” concept (e.g., All-on-4 or All-on-6) is a popular approach, where a full arch of teeth is supported by a strategically placed smaller number of implants, reducing the need for extensive bone grafting in some cases and making the procedure less invasive and quicker than individual implants for every tooth. The choice of materials for the final bridge (e.g., acrylic, composite, zirconia) and the brand of implants used will significantly influence the overall cost and longevity of the restoration. Clarity on guarantees, aftercare protocols, and the number of visits required is also crucial.
Why Are The Package Deals and Price of Full Mouth Dental Implants Different in Turkey Across Clinics?
The package deals and prices of full mouth dental implants differ across clinics in Turkey due to variations in the brand and number of implants used, the quality and material of the final prosthetic teeth, the experience and reputation of the surgeons, the clinic’s overheads and level of service, and the specific inclusions within each package. Understanding these differences is key when evaluating “Full Mouth Dental Implants Cost in Turkey – Package Deals.” For instance, a package using premium, internationally renowned implant brands like Straumann or Nobel Biocare will invariably be priced higher than one using high-quality but lesser-known local or regional brands. Similarly, a final bridge made from durable and highly aesthetic zirconia will cost more than one made from acrylic or composite materials. The number of implants in an “All-on-X” system (e.g., All-on-4 vs. All-on-6 or All-on-8) also affects the price, with more implants generally meaning a higher cost but potentially greater stability. Clinic-specific factors such as the level of investment in technology (advanced CBCT scanners, in-house labs), the qualifications and international experience of the dental team, and the luxuriousness of the clinic environment and patient services (e.g., dedicated patient coordinators, VIP transfers, high-end accommodation partnerships) all contribute to price variations. Some clinics might offer a very basic “Full Mouth Dental Implants Price in Turkey For First Visit” and a separate cost for the “Full Mouth Dental Implants Price in Turkey For Second Visit,” while others provide a single, all-encompassing quote. Therefore, it’s crucial for patients to meticulously compare what’s included in different package deals, looking beyond just the headline price to ensure they are comparing like-for-like services and materials.
How Many Days Should You Stay in Turkey For Full Mouth Dental Implants Specifically?
For the initial surgical phase of full mouth dental implants in Turkey, patients typically need to stay for 7 to 14 days, and a similar duration, or perhaps slightly less (7-10 days), is usually required for the second visit when the final prosthesis is fitted. This extended stay for the first part of “full mouth dental implants Turkey” treatment allows for comprehensive pre-operative planning, including detailed scans and consultations, the surgery itself (which can be lengthy depending on the number of implants and any adjunctive procedures like extractions or bone grafting), and crucial initial post-operative care and observation by the dental team. When patients ask, “How long does it take for full mouth dental implants in Turkey?” in terms of on-site time, the first visit is the most intensive. This period ensures any immediate complications can be addressed and that the patient is comfortable and healing well before travelling home. For the second visit, after the osseointegration period (typically 3-6 months), the stay involves taking final impressions, trial fittings of the prosthetic framework and teeth, and the final placement and adjustment of the full arch bridge. While less surgically invasive, this stage requires precision and artistry to ensure optimal fit, function, and aesthetics, hence the need for several days to accommodate lab work and adjustments. The exact duration will always be advised by the specific clinic based on their protocols and the complexity of your individual case.
Are There Alternative Options in Full Mouth Dental Implants in Turkey?
Yes, there are several alternative options within the category of full mouth dental implants in Turkey, primarily differing in the number of implants used and the design of the final prosthesis, such as the popular All-on-4 or All-on-6 systems, as well as implant-supported overdentures, sometimes referred to when discussing “denture implants turkey” in a broader sense. These involve placing a smaller number of implants (often 2 to 4 per jaw) that have attachments (like locators or a bar) onto which a specially designed denture clips or snaps. This provides much greater stability and retention than traditional removable dentures, improving chewing ability and comfort, while still being removable by the patient for cleaning. Implant-supported overdentures are generally less expensive than fully fixed All-on-X bridges and can be an excellent option for patients seeking a more affordable yet significantly improved alternative to conventional dentures. The choice among these alternatives depends on factors like bone volume, patient preference for fixed versus removable solutions, aesthetic goals, and budget. A thorough consultation with an experienced implantologist in Turkey will help determine the most suitable full mouth implant solution for your specific needs.
What Is Typically Included In Dental Implants Turkey Package Deals?
Dental implants Turkey package deals typically include the core dental procedures such as the consultation, diagnostic X-rays/scans, the surgical placement of the implant(s), the implant itself, the abutment(s), and the final crown(s) or bridge, often alongside logistical support like airport transfers and arranged accommodation. When patients opt for “all-inclusive dental implants in Turkey” packages, they are generally looking for a hassle-free experience where most foreseeable costs are bundled. Common inclusions are:
- The initial consultation and treatment planning (sometimes including 3D CBCT scans)
- All surgical procedures related to implant placement
- The cost of the titanium implants, abutments, and the final prosthetic (crown, bridge, or full arch restoration)
- Local anaesthesia and any prescribed medications (like antibiotics or painkillers post-surgery)
Many packages also feature airport pick-up and drop-off, transfers between the hotel and clinic for appointments, and pre-arranged accommodation at partner hotels, often for the duration of the necessary stay. Some clinics might also include a temporary prosthesis if required, translation services, and a dedicated patient coordinator. However, it’s crucial to clarify what might constitute “Turkey Dental Implants Package: Additional Treatments” that are not included. These could be bone grafting, sinus lifts (if required and not explicitly stated), sedation beyond local anaesthesia, or upgrades to premium implant brands or crown materials if the standard package offers a more basic option. The “Benefits Of Getting All-Inclusive Dental Implants In Turkey” are primarily cost predictability and convenience, but diligent questioning about every detail before committing is essential to ensure there are no hidden extras.
Why Should You Get Your Dental Implants in Turkey? Exploring the Benefits
You should consider getting your dental implants in Turkey primarily for the significant cost savings combined with access to high-quality dental care, experienced specialists, and modern clinic facilities, making it a highly attractive value proposition for many international patients. The main “advantages of having a dental implant in Turkey” revolve around this potent combination. The most prominent benefit is, of course, the affordability; treatment can be 50-70% cheaper than in countries like the UK, US, or Australia, making essential or extensive dental work financially accessible. This addresses the core of “What are the benefits of Turkey dental implants?” for many. However, cost alone isn’t the full story. Turkish dental clinics catering to international patients often boast state-of-the-art technology, including 3D CBCT scanners, CAD/CAM systems for in-house crown production, and advanced surgical equipment. The dentists and oral surgeons are frequently internationally trained, highly experienced (due to the large volume of cases they handle), and specialize in implantology. When patients ask, “Why Turkey for my dental implants?“, another compelling reason is the comprehensive service often provided. Many clinics offer package deals that include not just the dental treatment but also accommodation, airport transfers, and multilingual support, simplifying the entire process of travelling abroad for medical care. Furthermore, the opportunity to combine dental treatment with a holiday in a country rich in culture, history, and natural beauty is an added bonus for some. The competitive market also drives clinics to offer excellent patient care and achieve high satisfaction rates to maintain their reputation.
What Do Patient Reviews and Before & After Results Reveal About Dental Implants in Turkey?
Patient reviews and before & after results for dental implants in Turkey generally reveal a high level of satisfaction regarding the quality of dental work, the professionalism of the staff, the modern facilities, and the significant cost savings, though they also highlight the importance of thorough research to choose a reputable clinic. Scrutinizing “Dental Implant Turkey Reviews” is a crucial step for any prospective patient. Positive reviews frequently praise the skill and attentiveness of the dentists, the cleanliness of the clinics, and the often transformative aesthetic and functional outcomes. Many reviewers express delight at receiving treatment comparable to, or even exceeding, what they might expect in their home countries, but at a fraction of the price. When looking at “Dental Implants Turkey Reviews, Prices Straumann & Nobel Biocare,” for example, patients often confirm they received these premium brands as promised and are happy with the results. The visual evidence provided by “Dental Implants Turkey | Dental Implants Before & After” galleries and “Before and After Turkey Teeth Implants” photos can be incredibly compelling, showcasing dramatic improvements in smiles and overall facial aesthetics. These images often attest to the dentists’ ability to handle complex cases, including full mouth restorations. “Expert Care and Patient Reviews About Dental Implants in Turkey” often emphasize the supportive role of patient coordinators and the comprehensive nature of package deals. “Testimonials and Case Studies: UK Patients’ Experiences with Turkish Dental Implants” can provide particularly relatable insights for those from the UK, covering aspects from travel to aftercare. However, it’s also important to look for balanced reviews and be aware that negative experiences, though less common with well-chosen clinics, can occur, often related to communication issues, unmet expectations, or complications, underscoring the need for due diligence.
Which Implant Brands Are Commonly Used for Dental Implants in Turkey, Such as All-On-4?
Reputable dental clinics in Turkey commonly use a range of internationally recognized and high-quality local implant brands, including premium global leaders like Straumann and Nobel Biocare (often favored for complex cases like Dental Implants Turkey (All On 4 & All On 6 Implants)), as well as other respected international brands like Alpha Bio, Medentika, and Dentsply Sirona, alongside certified Turkish brands offering excellent value. The question “Which brands are used for dental implants in Turkey?” is critical for patients concerned about quality and long-term reliability. Top-tier clinics pride themselves on using implant systems with extensive research backing and proven clinical success. Straumann (Swiss) and Nobel Biocare (Swiss/American, pioneers of the All-on-4® treatment concept) are often considered the gold standard worldwide and are widely available in Turkey, particularly in clinics catering to a discerning international clientele. These brands are known for their innovative surface technologies, precision engineering, and strong clinical data, which contribute to high success rates and longevity. Other well-regarded international brands like Zimmer Biomet (USA), Hiossen/Osstem (South Korea/USA – very popular globally), and MIS Implants (Israel) are also frequently offered. Alongside these, there are several Turkish implant manufacturers (e.g., Bego Turkey, Implance) that produce CE-certified implants adhering to European standards, providing a more cost-effective yet still reliable option. Good clinics will be transparent about the brands they use and should be able to provide patients with information about the specific implant system recommended for their case, allowing patients to make informed choices based on their budget and preferences.
How Do You Choose the Best Clinic or City for Dental Implants in Turkey?
Choosing the best clinic or city for dental implants in Turkey requires thorough research into clinic accreditations, dentist qualifications, patient reviews, treatment specializations, and transparent pricing, rather than relying on a single “best” designation. “Tips For a Successful Dental Implant Journey in Turkey” start with due diligence. Look for clinics with international accreditations (e.g., ISO, JCI, or specific dental accreditations), as these indicate adherence to high standards of quality and safety. Investigate the qualifications, experience, and specializations of the dentists and oral surgeons – particularly their experience with implantology and complex cases if you require extensive work. When asking, “Which hospital in Turkey is best for dental implants?“, it’s more about finding the right clinic for your specific needs. Large multi-disciplinary hospitals might offer dental services, but specialized dental clinics often have more focused expertise in cosmetic and restorative dentistry. Read numerous independent patient reviews on various platforms, paying attention to comments about the quality of treatment, communication, aftercare, and overall experience. Request before-and-after photos of similar cases. As for “Which city in Turkey is preferable for dental implants?“, major cities like Istanbul, Antalya, and Izmir are popular hubs with a high concentration of reputable clinics. Istanbul offers a cosmopolitan experience with excellent flight connections. Antalya combines dental treatment with a resort-like atmosphere. Izmir is another coastal city with a growing reputation for dental tourism. The choice of city might depend on your travel preferences, budget, and the specific clinic that best meets your criteria. Always seek clear, itemized quotes and understand the treatment plan and any guarantees before committing. Referencing “The Complete Guide to Turkish Dental Implants for UK Patients” or similar comprehensive resources can also provide valuable checklists and considerations.
Frequently Asked Questions About ‘dental implants turkey’
Navigating the world of dental implants can bring up many questions, especially when considering treatment abroad. Here, we tackle some of the most frequently asked questions about ‘dental implants turkey’ to provide you with clear, concise answers and help you feel more informed and confident in your decision-making process.
What is a Turkey Dental Implant?
A “Turkey Dental Implant” refers to a standard dental implant procedure performed in a clinic located in Turkey, distinguished not by a unique type of implant but by the location of treatment, which typically offers significant cost advantages and access to experienced clinicians for international patients. The implant itself—the titanium post surgically placed into the jawbone—is usually made from medical-grade titanium, the same material used globally for its biocompatibility and ability to fuse with bone (osseointegration). Reputable clinics in Turkey use implant systems from internationally recognized manufacturers (like Straumann, Nobel Biocare, or other CE-certified brands) or high-quality, certified Turkish brands. So, the term doesn’t imply an implant manufactured in Turkey necessarily, though Turkish brands exist and are used. Rather, it signifies the entire patient journey and value proposition associated with seeking this advanced dental treatment within the Turkish healthcare system. Patients choose “Turkey dental implants” for the combination of skilled dentists, modern facilities, comprehensive service packages, and, most notably, the lower price point compared to their home countries. The “Turkey” aspect is a geographical and economic descriptor, highlighting a popular destination within the global dental tourism market, renowned for making high-quality dental restorations more accessible to a wider range of people seeking solutions for missing teeth. It’s about receiving a world-class dental solution in a specific, cost-effective, and increasingly trusted international location.
How much are full mouth dental implants in Turkey?
Full mouth dental implants in Turkey typically cost between £3,000 and £8,000 (approximately $4,000 to $10,000) per jaw, a price that is significantly lower than in many Western countries and often includes a comprehensive package covering the implants, prosthesis, and associated services. This price range for a full arch restoration, whether using systems like All-on-4 or All-on-6, depends on several key factors. The brand of implants chosen is a major determinant; premium international brands will be at the higher end, while quality local or other international brands can be more cost-effective. The material used for the final fixed bridge (e.g., acrylic with a metal bar, composite, or full zirconia for superior aesthetics and durability) also greatly influences the cost. The number of implants supporting the arch (four, six, or sometimes eight) will impact the price, as will the complexity of the individual case – for instance, if significant bone grafting or sinus lifts are required, this may add to the overall expense, though some All-on-X techniques are designed to minimize these needs. Clinics in Turkey often bundle full mouth solutions into packages that might include consultations, 3D scans, temporary teeth, the surgical procedures, the final prosthesis, and sometimes even accommodation and transfers, enhancing the overall value. Despite the variables, even the higher-end full mouth dental implant solutions in Turkey generally represent a saving of 50-70% compared to equivalent treatments in the UK, USA, or other Western European nations, making comprehensive smile restoration a viable option for many.
Is it worth getting dental implants in Turkey?
Yes, for many individuals, getting dental implants in Turkey is absolutely worth it, primarily due to the substantial cost savings achieved without compromising on the quality of treatment, materials, or the expertise of the dental professionals, provided thorough research is undertaken to select a reputable clinic. The “worth” is measured by a compelling value proposition: patients can access world-class dental implantology, including advanced techniques and premium materials, at a price point that is often 50-70% lower than in their home countries. This affordability makes transformative dental work, such as full mouth restorations, attainable for those who might otherwise be unable to afford it. Beyond cost, many Turkish clinics catering to international patients boast state-of-the-art facilities, cutting-edge technology (like 3D imaging and CAD/CAM systems), and highly skilled, often internationally trained, dentists who have extensive experience due to the high volume of implant cases they handle. The comprehensive service, often including package deals with accommodation and transfers, also adds to the convenience and positive experience. However, the “worth” is contingent on due diligence. Potential risks, such as travel for a medical procedure, differences in regulatory environments (though top clinics adhere to international standards), and the logistics of follow-up care, must be considered. By carefully vetting clinics, checking accreditations, reading reviews, and ensuring clear communication, patients can mitigate these risks and find that the combination of quality, service, and affordability makes dental implants in Turkey an exceptionally worthwhile investment in their oral health and overall well-being.
How many trips to Turkey for dental implants?
The standard protocol for most dental implant procedures in Turkey typically requires two separate trips, with a healing period of approximately 3 to 6 months between them to allow the implants to fully integrate with the jawbone. The first trip is dedicated to the surgical phase. This involves initial consultations, detailed diagnostics (like 3D CBCT scans), the surgical placement of the titanium implant posts into the jawbone, and often the fitting of a temporary prosthesis, especially if front teeth are involved. The duration of this first stay is usually around 5-10 days, depending on the complexity and number of implants. After this, the patient returns home for the crucial osseointegration period, during which the bone fuses securely with the implant surface, creating a stable foundation. The second trip is for the restorative phase. This visit involves uncovering the implants (if they were placed subgingivally), attaching the abutments (connector pieces), taking final impressions, and then the fabrication and fitting of the permanent, custom-made crowns, bridges, or full-arch prostheses. This second stay is often similar in length to the first, perhaps 5-7 days, to allow for any necessary adjustments for a perfect fit and aesthetic outcome. While “same-day” or immediate-load implant options exist and might reduce the number of distinct phases or trips for certain suitable candidates, the two-trip model remains the most common and often recommended approach for ensuring optimal long-term success and stability of dental implants, particularly for more extensive cases.
What Is Included In Dental Implants Turkey Package Deals?
Dental implants Turkey package deals typically include all core clinical aspects of the implant treatment, such as the initial consultation and diagnostics (X-rays, 3D scans), the surgical placement of the implants themselves, the cost of the implant posts and abutments, and the final crowns or bridge, often bundled with logistical support like accommodation and airport transfers for international patients. More specifically, a comprehensive package will usually cover: the dentist’s fees for all stages of the procedure; the specified number and brand of dental implants; the connecting abutments; the temporary teeth (if applicable); and the final permanent restorations (crowns, bridges, or full-arch prostheses made from agreed-upon materials like porcelain-fused-to-metal, zirconia, or E-max). Local anaesthesia and standard post-operative medications (e.g., antibiotics, painkillers) are also generally included. Beyond the clinical elements, many packages designed for medical tourists feature airport pick-up and drop-off services, hotel accommodation for the duration of the required stay(s), and transfers between the hotel and the dental clinic for all appointments. A dedicated patient coordinator or translator service is also a common inclusion to ensure smooth communication. It’s crucial, however, for patients to meticulously verify exactly what is covered and what might be considered an extra cost. Potential additional charges could include: treatments for pre-existing conditions, bone grafting or sinus lift procedures if not explicitly stated as included, upgrades to premium implant brands or crown materials if the package details a standard option, general anaesthesia or IV sedation if preferred over local anaesthesia, and any unforeseen complications requiring additional treatment. Always request a detailed, itemized list of inclusions and exclusions before committing.





