Surgical Dental (Procedures Recovery Risks)

Key Takeaways Surgical dentistry is a specialized field treating complex oral and facial conditions. It differs from general dentistry by involving more invasive procedures and requiring extensive specialized training. Common procedures include tooth extractions (especially wisdom teeth), dental implants, bone grafting, and corrective jaw surgery. While pain is managed *during* […]
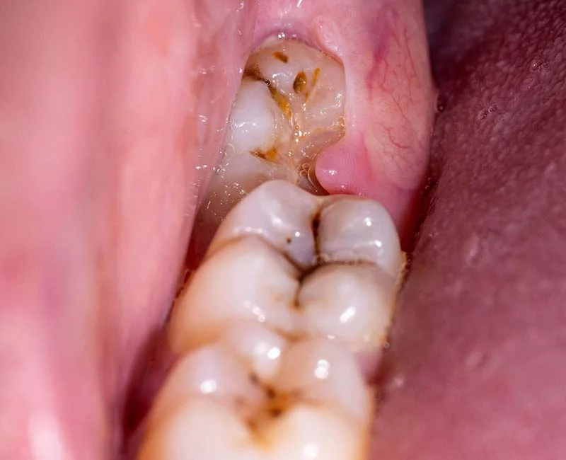
Wisdom Of Teeth (Symptoms, Removal & Recovery)

Key Takeaways Wisdom teeth are the final set of **third molars** typically erupting in the late teens or early twenties. Their location at the back of the mouth often leads to **impaction** and lack of space. Common problems include pain, swelling, infection (pericoronitis), and damage to adjacent teeth. Removal is often […]
Molar Teeth: Anatomy, Function, Care (Pain & Wisdom Teeth)

Key Takeaways Molars are the large back teeth primarily used for grinding food. Adults typically have 12 molars (including wisdom teeth), anchoring the bite. Eruption timing varies: baby molars 1-3 yrs, permanent molars 6-13 yrs, wisdom teeth 17-25 yrs. Common molar issues include cavities, gum disease, cracks, impaction, and […]
Molar Teeth (Pain Eruption Wisdom Teeth Care)

Key Takeaways Molars are the **largest and strongest teeth** at the back of your mouth, essential for grinding food. There are two sets: **primary molars** (baby teeth, 8 total) and **permanent molars** (adult teeth, typically 12 total, including wisdom teeth). Permanent molars erupt sequentially, starting around age **6** (first molars), then […]
Wisdom Extraction (Pain, Recovery, Risks)

Key Takeaways Wisdom tooth extraction is the surgical removal of the third molars, typically needed when they cause problems like **pain** or **impaction**. The procedure’s complexity and cost vary based on the number of teeth and whether they are impacted. Proper preparation, including arranging transport and discussing medical history, is crucial […]
Recovery Time For A Pulled Tooth (Healing Stages & Timeline)

Key Takeaways Initial recovery for discomfort and soft tissue closure typically takes 7-10 days. Full bone healing within the socket is a much longer process, requiring 3-6 months or more. Recovery involves distinct stages: clot formation, granulation tissue, gum closure, and bone remodeling. Pain peaks within 24-72 hours and […]
DENTAL BONE GRAFT COST (INSURANCE, IMPLANTS, LOCATION)

Key Takeaways Dental bone graft costs vary widely, typically from $200 to $3,200+ per site, depending on complexity and location. Factors influencing cost include the type and volume of graft material, the complexity of the surgery, and the expertise of the specialist. Grafting for dental implants is a common reason and […]
DENTAL BONE GRAFT SPECIALIST (WHO PERFORMS IT)

Key Takeaways Dental bone grafts are complex procedures needed to restore jawbone structure. Bone loss can stem from tooth extraction, periodontal disease, trauma, or aging. Sufficient bone is critical for supporting teeth, dentures, and especially dental implants. The term “dental bone graft specialist” typically refers to dentists with advanced surgical training […]
Dental Trauma (First Aid & Healing Time)

Key Takeaways Dental trauma is any physical injury to the teeth or supporting structures (gums, ligaments, bone). Causes are varied, commonly from falls, sports, and accidents. Symptoms include pain, bleeding, swelling, and visible damage like chips, cracks, or displacement. Immediate first aid is crucial, especially for knocked-out teeth (avulsion), and involves […]
3D Scans: Techniques, Medical Uses & Cost

Key Takeaways 3D scanning is a technology that captures the geometry of physical objects/environments into precise 3d Models. Diverse techniques exist, including Structured light, LiDAR Scan, and photogrammetry (using photographs). Applications span Industrial 3D Scanning, architecture (3D Scans for Architecture, Engineering & Construction | Matterport), cultural heritage (Smithsonian 3D Digitization), and […]