Gingivitis Understanding Causes Symptoms Treatment (Reverse)

Key Takeaways Gingivitis is inflammation of the gums, the earliest stage of gum disease. It’s primarily caused by bacterial plaque buildup due to insufficient oral hygiene. Common symptoms include red, swollen, and bleeding gums, often without pain. Gingivitis is highly treatable and reversible with professional cleaning and improved home care. […]
Gum Bleeding (Causes, Remedies & Prevention)

Key Takeaways Bleeding gums are *not* normal and signal underlying inflammation or disease, most often gingivitis. Causes go beyond poor hygiene, including vitamin deficiencies (C & K), hormonal changes, medications, smoking, and systemic conditions like diabetes. Persistent bleeding can indicate serious gum disease (periodontitis), potentially leading to tooth loss and impacting […]
How To Cure Gum Disease (Professional & Home Care)

Key Takeaways Gum disease progresses from reversible gingivitis to irreversible periodontitis. Gingivitis is curable with professional cleaning and improved home care. Periodontitis cannot be reversed but its progression can be stopped and managed. Effective treatment requires a combination of professional dental intervention and diligent home care. Daily brushing and […]
Sign Of Gum Disease (Identify Warning Signs)

Key Takeaways Gum disease is a serious bacterial infection affecting tooth support structures. It starts as reversible *gingivitis* and can progress to irreversible *periodontitis*. Early detection via specific warning signs is **crucial** for successful treatment. Common early signals include **bleeding gums**, redness, and swelling. Later signs involve gum recession, persistent […]
How To Cure Gum Disease Without A Dentist (Naturally At Home)

Key Takeaways Reversing gum disease *naturally at home* is generally possible only for the early stage, gingivitis. Key to home “cures” is impeccable oral hygiene to remove plaque. Natural remedies like salt water and turmeric can *support* healing and reduce inflammation but don’t replace cleaning. You *cannot* remove hardened tartar […]
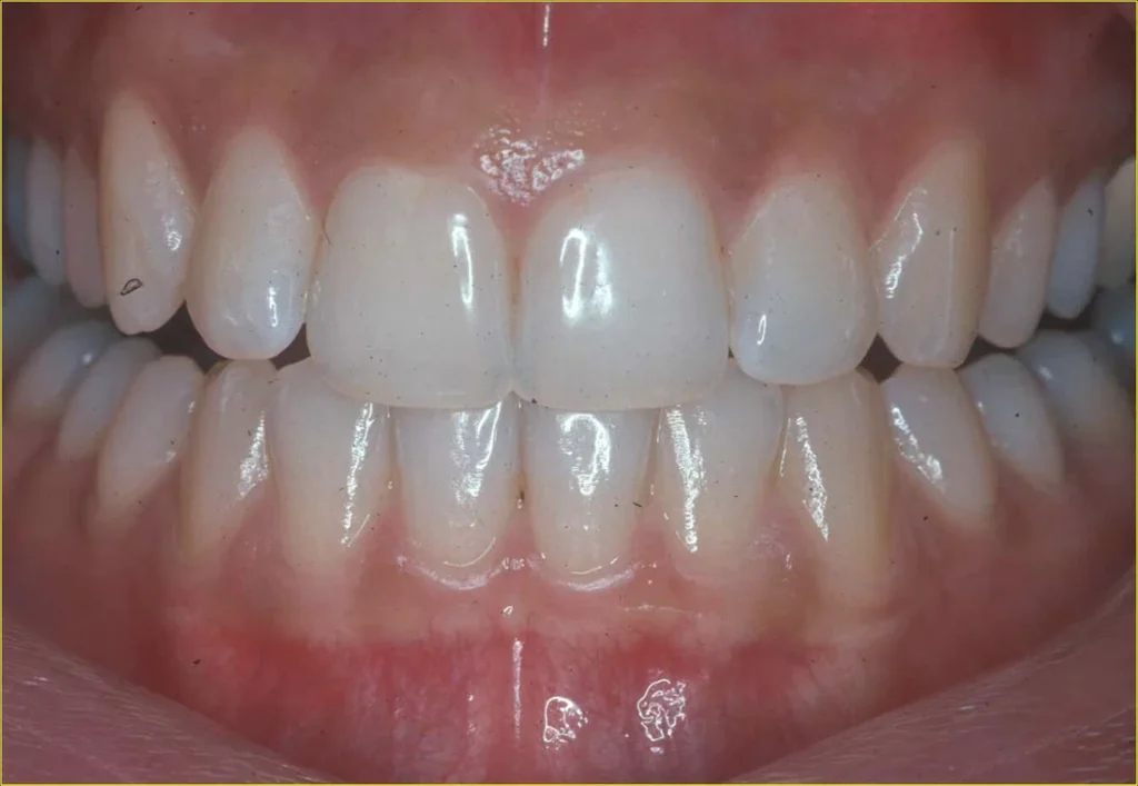
HEALTHY GUMS (SIGNS & PREVENTION TIPS)

Key Takeaways Healthy gums are essential for a strong smile and linked to overall body health. Signs of healthy gums include a pink color, firm texture, and no bleeding during brushing or flossing. Poor gum health is associated with conditions like heart disease and diabetes. Preventing gum disease is largely […]
CAVITY CAUSES SYMPTOMS & TREATMENT (AVOID PAIN)

Key Takeaways Cavities are permanent holes in teeth caused by tooth decay. Tooth decay is a disease process driven by bacteria, sugar, and acid. Early cavities often have no symptoms; pain usually indicates advanced decay. Cavities cannot heal on their own and require professional dental treatment. Prevention through good […]
What Do Cavities Look Like (Signs & Stages)

Key Takeaways Cavities aren’t just black holes; they begin as subtle changes like white spots. The visual appearance of decay changes significantly as it progresses through stages. Hidden cavities, especially between teeth or under fillings, often require X-rays for detection. Several things, including stains and natural tooth anatomy, can be […]
Teeth Inlays And Onlays (Comparing Crowns & Materials)

Key Takeaways Inlays and Onlays are indirect dental restorations. They are used for moderate tooth damage, bridging the gap between simple fillings and full crowns. An inlay fits within the chewing surface cusps; an onlay covers one or more cusps for added strength. Materials like ceramic, composite, and gold […]
Fissure Seals (Benefits For Kids And Adults)

Key Takeaways Fissure seals are thin plastic coatings applied to the chewing surfaces of back teeth. They serve as a preventive barrier to stop food and bacteria from causing cavities in deep grooves. Primarily recommended for children and adolescents, they also offer significant benefits for certain adults. The application procedure is quick, painless, […]