Përmbajtja
ToggleHeqja e Dhëmbëve: Kur dhe Pse Është e Nevojshme
Edhe pse dhëmbët e përhershëm janë të dizajnuar të zgjasin gjatë gjithë jetës, ka situata kur heqja e një dhëmbi bëhet e nevojshme. Kjo mund të ndodhë për shkak të dëmtimit të rëndë, infeksionit, ose problemeve të tjera shëndetësore.
Arsyet e Zakonshme për Heqjen e Dhëmbëve
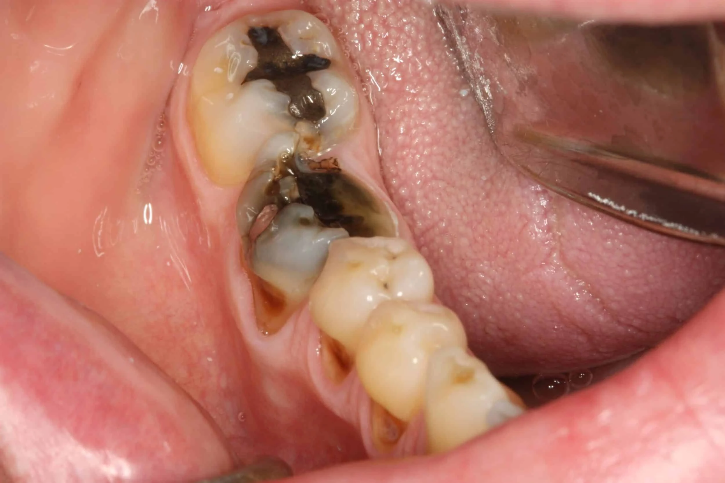
1. Dëmtim i Rëndë:
– Kur një dhëmb është shumë i prishur ose i thyer dhe nuk mund të riparohet me mbushje ose kurorë.
2. Prishje e Thellë:
– Nëse prishja ka arritur në pulpën e dhëmbit dhe infeksioni nuk mund të trajtohet me terapinë e kanalit të rrënjës.
3. Sëmundje Periodontale:
– Infeksionet e rënda të mishrave të dhëmbëve mund të shkaktojnë lirimin e dhëmbëve, duke bërë heqjen të nevojshme.
4. Dhëmbët e Mbipopulluar:
– Ndonjëherë, dhëmbët shtesë ose dhëmbët që nuk kanë vend në gojë duhet të hiqen për të lejuar rreshtimin e duhur të dhëmbëve (ortodonci).
5. Rreziku i Infeksionit:
– Pacientët me sisteme imunitare të dobëta (p.sh., pas transplantimit ose kimioterapisë) mund të kenë nevojë të heqin dhëmbët për të parandaluar infeksionet.
Si Kryhet Heqja e Dhëmbëve?

1. Anesteza:
– Dentisti aplikon anestezi lokale për të mpirë zonën rreth dhëmbit. Në disa raste, mund të përdoret anestezi e përgjithshme.
2. Heqja e Dhëmbëve:
– Për dhëmbët e thjeshtë, dentisti përdor pinceta për ta tundur dhe hequr dhëmbin. Për dhëmbët e vështirë, mund të nevojitet të hiqet në copa.
3. Mbyllya e Vendit të Heqjes:
– Pas heqjes, një mpiksje gjaku formohet në fole. Dentisti vendos një pambuk për të ndaluar gjakderdhjen dhe mund të qepë skajet e mishit nëse është e nevojshme.
Çfarë të Prisni Pas Heqjes së Dhëmbëve
– Dhimbje dhe Ënjtje: Është normale të ndjeni dhimbje dhe të keni ënjtje për disa ditë.
– Kujdesi Pas Operacionit:
– Kafshoni pambukun për të ndaluar gjakderdhjen.
– Aplikoni akull për të reduktuar ënjtjen.
– Hani ushqime të buta dhe shmangni pështymën me forcë.
– Mos pini duhan ose përdorni pajisje që mund të irritojnë zonën.
– Shërimi: Shërimi zakonisht zgjat 1-2 javë. Indet e reja të kockës dhe mishit do të rriten në vendin e heqjes.
Kur të Kontaktoni Dentistin?
Nëse vëreni ndonjë nga shenjat e mëposhtme, kontaktoni menjëherë dentistin tuaj:
– Gjakderdhje e vazhdueshme për më shumë se 4 orë.
– Etje, të ftohtë, ose shenja të infeksionit.
– Dhimbje të fortë që nuk ulet me ilaçe.
– Nauzë, të vjella, ose fryrje e tepërt.
Kujdesi Pas Heqjes së Dhëmbëve
1. Higjiena: Vazhdoni të lani dhëmbët dhe gjuhën, por shmangni zonën e heqjes.
2. Dietë: Hani ushqime të buta dhe shmangni ushqimet e forta derisa të shëroheni plotësisht.
3. Pushim: Kufizoni aktivitetet fizike për të paktën 24 orë pas heqjes.
Zëvendësimi i Dhëmbit të Hequr

Mungesa e një dhëmbi mund të shkaktojë zhvendosjen e dhëmbëve të tjerë dhe probleme me kafshimin. Dentisti juaj mund të rekomandojë zëvendësimin e dhëmbit me:
– Implant dentar.
– Ura dentare.
– Protezë.
Pse të Zgjidhni Klinikën Tonë?
Në klinikën tonë, ne ofrojmë heqje të sigurta dhe të pakta të dhimbjes së dhëmbëve, si dhe kujdes pasoperativ të plotë. Specialistët tanë janë të përpiktë në çdo hap për të siguruar që çdo pacient të ketë një përvojë të rehatshme dhe të suksesshme.
Mos e lini dhëmbin e dëmtuar pa trajtim! Rezervoni një konsultë me mjekët tanë sot për të diskutuar opsionet tuaja.
Ju mirëpresim!





