Asset 2

Ngritja e mishrave të dhëmbëve

Liftimi ose ngritja e mishrave të dhëmbëve (i njohur gjithashtu si gingivektomia) Liftimi ose ngritja e mishrave të dhëmbëve (i njohur gjithashtu si gingivektomia) është një procedurë dentare kozmetike që ngre dhe riformon linjën e mishrave të dhëmbëve….

Picture of Writen by Dr. Greta Toska
Writen by Dr. Greta Toska

Scientifically Reviewed by Dental Team

Best Price in Albania for Columbus

Table of Contents of Ngritja e mishrave të dhëmbëve

Liftimi ose ngritja e mishrave të dhëmbëve (i njohur gjithashtu si gingivektomia)

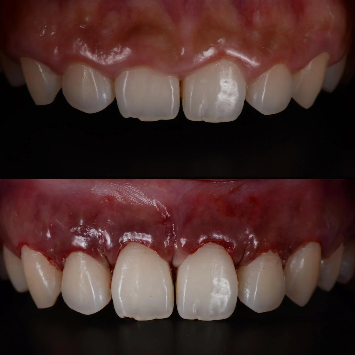
Gum Lift1 Ngritja e mishrave të dhëmbëve

Liftimi ose ngritja e mishrave të dhëmbëve (i njohur gjithashtu si gingivektomia) është një procedurë dentare kozmetike që ngre dhe riformon linjën e mishrave të dhëmbëve. Kjo procedurë përfshin riformimin e indeve dhe/ose kockave të poshtme për të krijuar një pamje të dhëmbëve më të gjatë ose më simetrike, duke e bërë kështu buzëqeshjen më të këndshme nga ana estetike.

Linjat e mishrave të dhëmbëve ndryshojnë nga një person në tjetrin. Disa janë të larta, disa të ulëta, disa të pabarabarta, ndërsa të tjerët janë në mes. Por tani keni zgjidhjen nëse dëshironi të ndryshoni buzëqeshjen tuaj.

Nëse nuk jeni të kënaqur me pamjen e mishrave të dhëmbëve tuaj, ka mënyra për ta ndryshuar atë. Konturimi i mishrave të dhëmbëve,  i njohur gjithashtu si skulpturimi i gingivave ose gingivoplastika, është një nga opsionet që mund të ndihmojë në riformimin e vijës së mishit tuaj.

Ngritja dhe skulpturimi i mishrave të dhëmbëve nuk bëhet vetëm për qëllime estetike. Kjo procedurë kryhet edhe kur ka probleme me gingivat dhe dhëmbët. Pra, kjo ndërhyrje nuk është vetëm për pamjen, por edhe për shëndetin tuaj oral.

Ky informacion do t’ju ndihmojë të kuptoni se çfarë është konturimi i mishrave të dhëmbëve, kur bëhet dhe si është procesi i rikuperimit.

 

Çfarë është konturimi i mishrave të dhëmbëve?

Konturimi i mishrave të dhëmbëve është një procedurë e kryer nga një specialist dentar, në këtë rast nga mjekët tanë të specializuar, që riformon ose rigjallëron vijën e mishit të dhëmbëve.

Procesi i konturimit përfshin prerjen ose heqjen e indeve të tepërta të mishrave rreth dhëmbëve tuaj. Nëse keni recesion të mishit të dhëmbëve, procedura përfshin rikthimin e indit të mishrave të dhëmbëve.

Në shumë raste, konturimi i mishrave të dhëmbëve është një procedurë zgjedhore, që do të thotë se nuk është e nevojshme nga ana mjekësore. Në vend të kësaj, bëhet për të përmirësuar pamjen e mishrave të dhëmbëve, dhëmbëve ose buzëqeshjes.

Megjithatë, ka raste kur dentisti juaj mund të rekomandojë konturimin e mishrave të dhëmbëve për arsye të shëndetit oral.

 

Kur është e nevojshme konturimi i mishrave të dhëmbëve?

 

Shpesh, konturimi i mishrave të dhëmbëve bëhet për qëllime kozmetike. Por ka raste kur mund të jetë një domosdoshmëri mjekësore.

Nëse keni sëmundje periodontale, konturimi i mishrave të dhëmbëve mund të jetë një opsion trajtimi. Dentisti juaj fillimisht do të përpiqet të trajtojë sëmundjen me metoda jokirurgjikale, si antibiotikë për të luftuar infeksionin ose pastrime të thella për të rivendosur shëndetin e mishrave të dhëmbëve.

Nëse këto metoda nuk japin rezultate, dentisti juaj mund të rekomandojë një trajtim kirurgjik, si operacioni për zvogëlimin e xhepit në mishrat e dhëmbëve dhe kockën përreth, ose një procedurë rigjenerimi për të rikthyer kockën e dëmtuar dhe indin e mishrave të dhëmbëve.

 

Çfarë përfshin konturimi i mishrave të dhëmbëve?

Konturimi i mishrave të dhëmbëve zakonisht kryhet nga një periodontist ose një dentist kozmetik. Është një procedurë e thjeshtë që kryhet në klinikë dhe zakonisht përfundon brenda një vizite.

Në shumicën e rasteve, ju do të jeni të zgjuar gjatë procedurës. Para se të fillojë, do të merrni anestezi lokale për të mpirë zonën e mishrave të dhëmbëve.

Gjatë procedurës, mjeku do të përdorë një lazer të indeve të buta ose një skalpel për të hequr indin e tepërt të mishit të dhëmbëve dhe për të rregulluar vijën e mishit, duke ekspozuar më shumë nga dhëmbi. Në disa raste, mund të përdoren sutura për të mbajtur indin e mishit në vend.

Nëse mishrat e dhëmbëve janë tërhequr dhe procedura përfshin shtimin e indeve, mjeku do të marrë ind nga një pjesë tjetër e gojës (p.sh., qiellza) dhe do ta vendosë atë rreth dhëmbëve tuaj për të ristrukturuar vijën e mishit.

Kohëzgjatja e procedurës varet nga shtrirja e konturimit dhe sasia e skulpturimit që nevojitet. Në përgjithësi, konturimi i mishrave të dhëmbëve zgjat 1 deri në 2 orë.

 

A është i dhimbshëm konturimi i mishrave të dhëmbëve?

Gum Lift2 scaled Ngritja e mishrave të dhëmbëve

Do t’ju jepet anestezi lokale përpara se të fillojë procedura, kështu që nuk do të ndjeni dhimbje gjatë ndërhyrjes. Megjithatë, pas procedurës, mund të ndjeni pak butësi ose mpirje në zonën e trajtuar.

 

Sa zgjat rikuperimi?

Rikuperimi zakonisht është i shpejtë. Shumica e pacientëve kthehen në aktivitetet e tyre normale brenda një dite ose dy. Megjithatë, mund të këshillohet të shmangni ushqimet e forta ose ato që mund të irritojnë zonën e trajtuar për disa ditë.

 

A duhen konsulta pas trajtimit?

Po, është e rëndësishme të keni konsulta pas trajtimit për të monitoruar shëndetin e mishrave të dhëmbëve dhe për të siguruar që procedura ka dhënë rezultatet e dëshiruara.

 

Sa kushton konturimi i mishrave të dhëmbëve?

Kostoja e konturimit të mishrave të dhëmbëve ndryshon në varësi të sasisë së punës që nevojitet dhe kompleksitetit të rastit. Për një vlerësim të saktë, ju lutemi të kontaktoni klinikën tonë.

 

Përfundim

Konturimi i mishrave të dhëmbëve, i njohur gjithashtu si skulpturimi i gingivave, është një proces që përfshin riformimin e vijës së mishit të dhëmbëve. Shpesh përdoret për të përmirësuar pamjen estetike të buzëqeshjes, por mund të jetë i nevojshëm edhe për arsye të shëndetit oral, veçanërisht në rastet e sëmundjeve periodontale.

Procedura është e thjeshtë dhe zakonisht zgjat 1 deri në 2 orë. Nëse keni ndonjë pyetje ose dëshironi të bëni një konsultë, mos hezitoni të na kontaktoni.

Ju mirëpresim në klinikën tonë!